近日,一场跨越千里的生命接力在宁波大学附属第一医院方桥院区胸外科完美落幕。
来自四川的李大哥(化名)胸腔内长有一个巨大的胸腺瘤,犹如一颗紧贴心脏的“不定时炸弹”,因病情复杂、手术风险极高,他辗转多地求医,最终在这里获得新生。
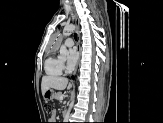
紧贴心脏的“不定时炸弹”
影像检查结果令人揪心:一个尺寸约7*8cm的巨大肿块,盘踞在紧邻心脏的前上纵隔区域。这颗肿瘤位置极其险要,不仅严重压迫周围组织,更已侵犯心包,如同一颗“不定时炸弹”,随时可能影响心脏功能,危及生命。

▲纵隔肿瘤CT
面对这位从远方而来的患者,方桥院区胸外科郭晶主任医师团队迅速组织多学科会诊,制定了周密的手术方案。
手术台上的“毫厘之战”
然而,当手术沿胸骨正中切口进入胸腔后,郭晶团队发现实际情况比预判更为严峻——肿瘤已突破心包屏障,直接侵犯到了左心房壁。
这意味着,手术已从单纯的肿瘤切除,升级为在跳动的心脏上进行一场毫米级的精细分离。每一步都如履薄冰,稍有不慎便可能引发致命性大出血。这不仅是对主刀医生技术的极致考验,更是对整个团队协作与心理素质的终极挑战。

▲郭晶主任医师团队术中照
在心脏与大血管之间的狭小空间中,郭晶主任沉稳操作,沿肿瘤包膜进行精细游离。面对与心包紧密粘连、甚至侵犯左心房壁的复杂情况,他步步为营,先切除受累心包,再以直线切割闭合器精准出击,最终将肿瘤从心脏上成功“拆解”。
手术团队还同期完成了心包重建、心包开窗及引流管置入。整个过程出血控制良好,肿瘤被完整切除。术后病理证实为AB型胸腺瘤。平安返回病房的李大哥激动地表示:“感谢郭主任团队,是你们高超的医术,让我这个从四川赶来的人,能平平安安回家,继续做家里的顶梁柱。”一番朴素的言语,道出了无限感激。

▲完整切除的病理标本
这台高难度手术的成功,不仅得益于郭晶团队精湛的医术与敢于担当的勇气,也离不开多学科的紧密协作与医院平台的有力支撑。这是一次医术与仁心交织的生命守护,也是宁大一院胸外科在高难度纵隔肿瘤手术领域技术实力的生动体现。
专家名片

郭 晶 主任医师
宁波大学附属第一医院方桥院区胸外科病区副主任。擅长肺部结节(包括磨玻璃结节,亚实性结节以及实性结节)的诊断及微创外科治疗;食管良恶性疾病的外科治疗;纵隔良恶性肿瘤的微创治疗及局部晚期肺癌及食管癌的转化治疗。